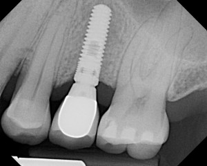
Chirurgien Maxillofacial
Il intervient lors des greffes de gencives, des greffes osseuses, des chirurgies de la mâchoire et de la pose d’implants.

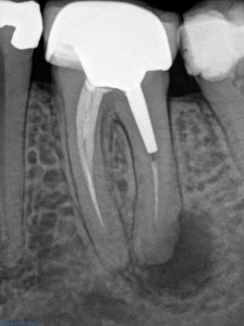
Endodontiste
L’endodontiste traite principalement les inflammations et les infections du canal interne de la dent. Il intervient parfois pour procéder à la préparation du canal de la dent avant de poser une couronne.

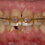
Orthodontiste
Il est parfois nécessaire d’avoir recours à l’orthodontiste afin de rétablir l’alignement des dents avant de les restaurer. Ceci améliore la stabilité des dents et des restaurations.
Avant

Après

Parodontiste
Il intervient lorsque la santé de la gencive est en cause. Avant tout traitement prosthodontique, il est impératif de s’assurer que la gencive est saine. Dans le cas contraire, le parodontiste fera en sorte de la traiter pour qu’elle retrouve la santé. Il peut procéder aux greffes de gencive et d’os, ainsi qu’à la pose d’implants. Il fait également des chirurgies gingivales, dans un but esthétique et biologique.
Avant

Après

Avant

Après

Avant

Après

Autre spécialistes
L’intervention d’autres spécialistes peut être nécessaire pour effectuer certains traitements. En effet, pour obtenir un résultat optimal, le prosthodontiste est appelé à travailler en collaboration avec le chirurgien maxillo-facial, le parodontiste, l’orthodontiste et l’endodontiste.